Imatinib for Chronic Myeloid Leukemia (2001)
May 2001What Happened
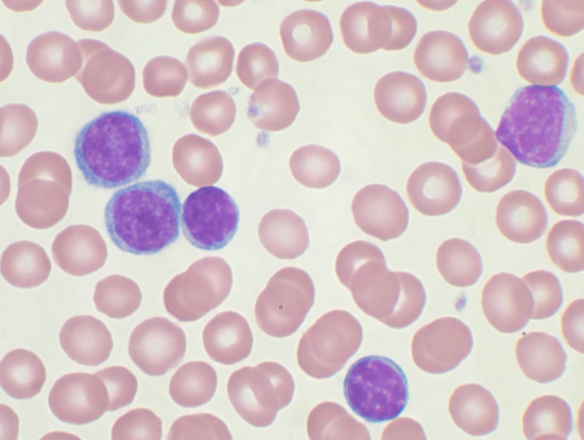
The FDA approved imatinib (Gleevec), a pill that targeted the specific molecular defect—the BCR-ABL fusion protein—driving chronic myeloid leukemia (CML). Before imatinib, CML patients had a median survival of three to five years. After five years of imatinib therapy, 89% of patients were still alive, and relapse rates were only 17%.
Outcome
Imatinib transformed CML from a near-certain death sentence into a manageable chronic condition. It became one of the fastest drug approvals in FDA history at two and a half years from application to approval.
Imatinib established the template for precision oncology—designing drugs that target specific molecular abnormalities in cancer cells rather than killing all rapidly dividing cells. It spawned an entire class of tyrosine kinase inhibitors and proved the concept that would eventually reach CLL.
Why It's Relevant Today
The venetoclax-acalabrutinib approval follows the same playbook imatinib pioneered: identify the molecular vulnerabilities keeping cancer cells alive, then design drugs to block them. CLL's version just required two targets instead of one.
